
दंत और मौखिक स्वास्थ्य के बारे में आपको क्या जानना आवश्यक है?
मौखिक स्वास्थ्य में आपके दांत और मसूड़े शामिल हैं, दोनों को ही कैविटी, संक्रमण और अन्य समस्याओं से बचने के लिए नियमित देखभाल की आवश्यकता होती है। अपने दंत और मौखिक स्वास्थ्य का ख्याल रखने से आपके हृदय सहित शरीर के अन्य अंगों को भी लाभ हो सकता है।
दाँत और मुँह का स्वास्थ्य आपके समग्र स्वास्थ्य और तंदुरुस्ती का एक अनिवार्य हिस्सा है। खराब मौखिक स्वच्छता से दांतों में कैविटी (छेद) और मसूड़ों की बीमारी हो सकती है और इसे हृदय रोग, कैंसर और मधुमेह से भी जोड़ा गया है।

दांतों और मसूड़ों को आजीवन स्वस्थ बनाए रखना एक प्रतिबद्धता है। जितनी जल्दी आप उचित मौखिक स्वच्छता की आदतों को सीखेंगे – जैसे ब्रश करना, फ्लॉसिंग (दांतों के बीच की सफाई) करना और चीनी का सेवन सीमित करने से महंगी दंत प्रक्रियाओं और दीर्घकालिक स्वास्थ्य समस्याओं से बचना उतना ही आसान होगा।
दंत और मौखिक स्वास्थ्य से जुड़े कुछ तथ्य
दांतों में कैविटी और मसूड़ों की बीमारी होना बहुत आम है, विश्व स्वास्थ्य संगठन के अनुसार:
- 60 से 90% स्कूली बच्चों के दांतों में कम से कम एक कैविटी होती है
- लगभग 100% वयस्कों के दांतों में कम से कम एक कैविटी होती है
- 35 से 44 वर्ष की आयु के 15 से 20% वयस्कों को गंभीर मसूड़ों की बीमारी होती है
- दुनिया भर में 65 से 74 वर्ष की आयु के लगभग 30% लोगों के पास कोई प्राकृतिक दांत नहीं बचा है
- अधिकांश देशों में, प्रत्येक 100,000 लोगों में से 1 से 10 के बीच मौखिक कैंसर के मामले होते हैं
- गरीब या वंचित आबादी समूहों में मौखिक बीमारी का बोझ बहुत अधिक है
अपने दांतों को स्वस्थ रखने के लिए आप कई कदम उठा सकते हैं, जिससे दांतों और मौखिक रोगों को काफी हद तक कम किया जा सकता है:
- फ्लोराइड युक्त टूथपेस्ट से दिन में कम से कम दो बार अपने दांतों को ब्रश करना
- दिन में कम से कम एक बार अपने दांतों को फ्लॉस करना
- चीनी का सेवन कम करना
- फलों और सब्जियों से भरपूर आहार खाना
- तंबाकू उत्पादों से बचना
- फ्लोराइड युक्त पानी पीना
- पेशेवर दंत चिकित्सक से उपचार कराना
Read Also – The Link Between Oral Health and Overall Wellness
इसे भी पढ़ें – मौखिक स्वच्छता का महत्व
दंत और मौखिक समस्याओं के लक्षण
आपको अपने दंत चिकित्सक से मिलने के लिए तब तक इंतजार नहीं करना चाहिए, जब तक कि आपको लक्षण न दिखें। साल में दो बार दंत चिकित्सक के पास जाने से किसी भी लक्षण के दिखने से पहले ही आपकी समस्या का पता चल जाता है।
यदि आपको दांतों की स्वास्थ्य समस्याओं के निम्नलिखित चेतावनी संकेतों में से कोई भी अनुभव होता है, तो आपको अपने दंत चिकित्सक से मिलने में देर नहीं करनी चाहिए:
- मुंह में अल्सर, घाव या कोमल क्षेत्र जो एक या दो सप्ताह के बाद भी ठीक नहीं होते
- ब्रश करने या फ़्लॉसिंग के बाद मसूड़ों से खून आना या सूजन होना
- बदबूदार सांस का बने रहना
- गर्म और ठंडे पेय पदार्थों के प्रति अचानक संवेदनशीलता
- मसूड़ों या दांतों में दर्द
- ढीले दांत
- मसूड़ों का पीछे हटना
- चबाने या काटने पर दर्द
- चेहरे और गाल पर सूजन
- जबड़े के चटकने की आवाज़
- फटे या टूटे हुए दांत
- बार-बार मुंह सूखना
यदि इनमें से किसी भी लक्षण के साथ तेज़ बुखार और चेहरे या गर्दन में सूजन है, तो आपको आपातकालीन चिकित्सा उपचार लेना चाहिए।

दंत और मौखिक रोगों के कारण
आपके मौखिक गुहा में सभी प्रकार के बैक्टीरिया, वायरस और कवक जमा होते हैं। उनमें से कुछ वहाँ स्थायी रूप से होते हैं, जो आपके मुँह के सामान्य फ्लोरा को बनाते हैं। वे आम तौर पर कम मात्रा में हानिरहित होते हैं। लेकिन चीनी से भरपूर आहार ऐसी परिस्थितियाँ पैदा करते हैं, जिसमें एसिड बनाने वाले बैक्टीरिया पनप सकते हैं। यह एसिड दांतों के इनेमल को गलाने और दांतों में सड़न पैदा करने का कारण बनता है।
आपके मसूड़ों के पास बैक्टीरिया प्लाक नामक चिपचिपे पदार्थ में पनपते हैं। अगर ब्रश और फ्लॉसिंग द्वारा इसे नियमित रूप से नहीं हटाया जाता है, तो प्लाक जमकर कठोर हो जाता है और आपके दाँत की जड़ में चला जाता है। इससे आपके मसूड़ों में सूजन आ सकती है और मसूड़े की सूजन (Gingivitis) नामक स्थिति पैदा हो सकती है।
बढ़ती सूजन के कारण आपके मसूड़े आपके दांतों से अलग होने लगते हैं। यह प्रक्रिया दांत और मसूड़ों के बीच जगह बनाती है, जिनमें अंततः मवाद एकत्रित हो सकता है। मसूड़ों की बीमारी के इस अधिक उन्नत चरण को पेरियोडोंटाइटिस कहा जाता है।
मसूड़े की सूजन और पीरियोडोंटाइटिस में योगदान देने वाले कई कारक हैं, जिनमें शामिल हैं:
- धूम्रपान करना
- ब्रश करने की खराब आदतें
- मीठा, खाने और पीने की चीज़ें बार-बार खाना
- मधुमेह
- मुंह में लार की मात्रा कम करने वाली दवाओं का उपयोग
- पारिवारिक इतिहास या आनुवंशिकी
- कुछ संक्रमण, जैसे एचआईवी या एड्स
- महिलाओं में हार्मोनल परिवर्तन
- एसिड रिफ्लक्स या सीने में जलन
- एसिड के कारण बार-बार उल्टी होना
इसे भी पढ़ें – आपके शरीर को धूम्रपान (Smoking) कैसे प्रभावित करता है?
दंत और मौखिक रोगों का निदान
दंत परीक्षण के दौरान अधिकांश दंत और मौखिक स्वास्थ्य समस्याओं का निदान किया जा सकता है। परीक्षण के दौरान, आपका दंत चिकित्सक आपका बारीकी से निरीक्षण करेगा:
- दांत
- मुँह
- गला
- जीभ
- गाल
- जबड़ा
- गर्दन
आपका दंत चिकित्सक निदान करने के लिए विभिन्न औजारों या उपकरणों से आपके दांतों को ठोंक कर या खुरच कर देख सकता है। दंत चिकित्सक आपकी समस्या को सुनिश्चित करने के लिए आपके पूरे मुँह और दांतों का एक्स-रे लेगा। यदि आप गर्भवती हैं, तो अपने दंत चिकित्सक को अवश्य बताएं, गर्भवती महिलाओं को एक्स-रे नहीं कराना चाहिए।
प्रोब नामक उपकरण का उपयोग आपके गम पॉकेट को मापने के लिए किया जा सकता है। जो आपके दंत चिकित्सक को यह बता सकता है कि आपको मसूड़ों की बीमारी है या मसूड़े सिकुड़ रहे हैं। एक स्वस्थ मुँह में, दांतों के बीच के गम पॉकेट की गहराई आमतौर पर 1 से 3 मिमी के बीच होती है। इससे अधिक माप का मतलब यह हो सकता है कि आपको मसूड़ों की बीमारी है।
यदि आपके दंत चिकित्सक को आपके मुंह में कोई असामान्य गांठ, घाव या वृद्धि मिलती है, तो वे मसूड़ों की बायोप्सी कर सकते हैं। बायोप्सी के लिए, गाँठ या घाव से ऊतक का एक छोटा टुकड़ा निकाला जाता है। फिर नमूने को आगे की जांच के लिए प्रयोगशाला में भेजा दिया जाता है, ताकि कैंसर कोशिकाओं की जांच की जा सके।
यदि मौखिक कैंसर का संदेह है, तो आपका दंत चिकित्सक यह देखने के लिए इमेजिंग परीक्षण भी करवा सकता है कि कैंसर फैल गया है या नहीं। परीक्षणों में शामिल हो सकते हैं:
- एक्स-रे (X-ray)
- एमआरआई स्कैन (MRI scan)
- सीटी स्कैन (CT scan)
- एंडोस्कोपी (Endoscopy)
दंत और मौखिक रोगों के प्रकार
हम अपने दांतों और मुंह का उपयोग बहुत से कामों में करते हैं, इसलिए इसमें जरा भी आश्चर्य की बात नहीं है कि समय के साथ कुछ चीजें गलत हो सकती हैं, खासकर यदि आप अपने दांत और मुँह के स्वास्थ्य की सही तरीके से देखभाल नहीं करते हैं।
उचित मौखिक स्वच्छता से अधिकांश दंत और मौखिक समस्याओं को रोका जा सकता है। आपको अपने पूरे जीवनकाल में कम से कम एक दंत समस्या का अनुभव होने की संभावना हो सकती है।
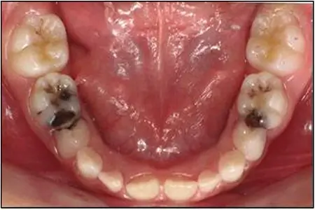
कैविटी (दांत में छेद)
कैविटी को क्षरण या दांतों की सड़न भी कहा जाता है। ये दांत के ऐसे क्षेत्र होते हैं, जो स्थायी रूप से क्षतिग्रस्त हो गए हैं और उनमें छेद भी हो सकते हैं। कैविटी काफी आम है। वे तब होते हैं, जब बैक्टीरिया भोजन और एसिड की परत आपके दांतों पर चढ़ा देते हैं और प्लाक बनाते हैं।
आपके दांतों पर मौजूद एसिड इनेमल और फिर दांत की भीतरी कठोर परत या संयोजी ऊतक को खत्म करना शुरू कर देता है। समय के साथ, यह स्थायी क्षति का कारण बन सकता है।
मसूड़ों की बीमारी (मसूड़े की सूजन)
मसूड़ों की बीमारी, जिसे मसूड़े की सूजन भी कहा जाता है, मसूड़ों में होने वाली सूजन है। यह आमतौर पर खराब ब्रशिंग और फ़्लॉसिंग की आदतों के कारण आपके दांतों पर प्लाक के जमने का नतीजा होता है।
मसूड़े की सूजन के कारण आपके मसूड़े सूज सकते हैं और ब्रश या फ़्लॉस करने पर खून आ सकता है। अनुपचारित मसूड़े की सूजन से पीरियोडोंटाइटिस हो सकता है, जो एक अधिक गंभीर संक्रमण है।

पेरियोडोंटाइटिस (पायरिया)
मसूड़ों की गंभीर बीमारी पायरिया जैसे-जैसे बढ़ती है, संक्रमण आपके जबड़े और हड्डियों तक फैल सकता है। यह पूरे शरीर में सूजन की प्रतिक्रिया भी पैदा कर सकता है।
टूटे या फटे हुए दांत
मुंह में चोट लगने, सख्त खाना चबाने या रात में दांत पीसने से दांत टूट या चटक सकता है। टूटा हुआ दांत बहुत दर्दनाक हो सकता है। अगर आपका दांत टूटा या चटका हुआ है, तो आपको तुरंत अपने दंत चिकित्सक के पास जाना चाहिए।
संवेदनशील दांत
अगर आपके दांत संवेदनशील हैं, तो आपको ठंडा या गर्म खाना या पेय पदार्थ पीने के बाद दांतों में दर्द या झनझनाहट महसूस हो सकती है।
दांतों की संवेदनशीलता को “दंत अतिसंवेदनशीलता” भी कहा जाता है। यह कभी-कभी रूट कैनाल या फिलिंग करवाने के बाद अस्थायी रूप से हो सकता है। यह इन कारणों से भी हो सकता है:
- मसूड़ों की बीमारी
- मसूड़ों का सिकुड़ना
- दांत में दरार
- घिसी हुई दांत की भराई या दांत का कवर
कुछ लोगों के दांत स्वाभाविक रूप से संवेदनशील होते हैं, क्योंकि उनके इनेमल पतले होते हैं।
अधिकांश समय, स्वाभाविक रूप से संवेदनशील दांतों का इलाज दैनिक मौखिक स्वच्छता के नियम में बदलाव करके किया जा सकता है। संवेदनशील दांत वाले लोगों को विशिष्ट प्रकार के टूथपेस्ट और माउथवॉश का उपयोग करना चाहिए।
मुँह का कैंसर
मौखिक कैंसर में निम्नलिखित कैंसर शामिल हैं:
- मसूड़े
- जीभ
- होंठ
- गाल
- मुंह का तल
- कठोर और मुलायम तालू
आमतौर पर दंत चिकित्सक मौखिक कैंसर को पहचानने वाला पहला व्यक्ति होता है। धूम्रपान और तंबाकूजन्य पदार्थ जैसे तम्बाकू और गुटखा का सेवन मौखिक कैंसर के लिए सबसे बड़ा जोखिम कारक है।
ओरल कैंसर फाउंडेशन (OCF) के अनुसार, सामान्य तौर पर, जितनी जल्दी मौखिक कैंसर का निदान किया जाता है, तो ठीक होने की संभावना उतनी ही बेहतर होती है।
मौखिक और सामान्य स्वास्थ्य के बीच क्या संबंध है?
शरीर के दूसरे हिस्सों की तरह, मुँह भी कीटाणुओं से भरा होता है। ये कीटाणु ज़्यादातर नुकसान नहीं पहुँचाते। मुँह पाचन तंत्र और श्वसन मार्ग दोनों से जुड़ा है। इसलिए कभी-कभी मुँह के कीटाणु पूरे शरीर में बीमारी फैला सकते हैं।
ज़्यादातर मामलों में, दंत और मौखिक स्वास्थ्य की अच्छी देखभाल ब्रश और फ्लॉस करना इन कीटाणुओं को काबू में रखता है। मुँह की अच्छी साफ़-सफ़ाई न होने पर दाँतों में सड़न और मसूड़ों की बीमारी हो सकती है।
इसके अलावा, कुछ दवाएँ जैसे डिकंजेस्टेंट, एंटीहिस्टामाइन, दर्द निवारक, वॉटर पिल्स और एंटीडिप्रेसेंट मुँह में लार (थूक) के प्रवाह को कम कर सकती हैं। लार भोजन के कणों को साथ ले जाती है और मुँह के एसिड को संतुलित रखती है। इससे कीटाणुओं के फैलने और बीमारी पैदा करने से रोकने में मदद मिलती है।
मुँह में सूजन और जलन (इन्फ्लेमेशन) मसूड़ों की एक गंभीर बीमारी से है, जिसे पीरियोडोंटाइटिस कहते हैं। अध्ययनों से पता चलता है कि ये कीटाणु और सूजन कुछ बीमारियों में भूमिका निभा सकते हैं।
मौखिक स्वच्छता क्यों महत्वपूर्ण है?
मौखिक स्वच्छता निवारक देखभाल है। इसका मतलब है कि आप अपने दांतों और मसूड़ों की अच्छी देखभाल करके दंत और मौखिक स्वास्थ्य समस्याओं – जैसे कि दांतों की सड़न या छेद, मसूड़ों की बीमारी, सांसों की बदबू (हैलिटोसिस) और अन्य समस्याओं को शुरू होने से पहले ही रोक सकते हैं।
मौखिक स्वास्थ्य पूरे शरीर के स्वास्थ्य से भी जुड़ा हुआ है। उदाहरण के लिए, यदि आपके मुंह में कोई संक्रमण मौजूद है, तो आपका रक्तप्रवाह बैक्टीरिया को आपके शरीर के अन्य भागों में ले जा सकता है, जिससे हृदय रोग और स्ट्रोक जैसी अन्य स्वास्थ्य समस्याएं हो सकती हैं। अपने दांतों और मसूड़ों को स्वस्थ रखना लंबे समय तक चलने वाले समग्र स्वास्थ्य का एक महत्वपूर्ण हिस्सा है।

मौखिक स्वास्थ्य किन बीमारियों से संबंधित हो सकता है?
आपके दंत और मौखिक स्वास्थ्य का संबंध कुछ बीमारियों से हो सकता है, जैसे:
- एंडोकार्डाइटिस – यह दिल के वाल्व की अंदरूनी परत (एंडोकार्डियम) का संक्रमण है। यह तब होता है, जब बैक्टीरिया मौखिक गुहा से होकर आपके रक्तप्रवाह में फैलकर दिल के कुछ खास हिस्सों से चिपक जाते हैं, जिससे एंडोकार्डिटिस हो सकता है। एंडोकार्डियम का संक्रमण बहुत कम होता है, लेकिन यह जानलेवा हो सकता है।
- हृदय रोग – कुछ शोध बताते हैं कि दिल की बीमारी, बंद नसें और स्ट्रोक, मुंह के कीटाणुओं से होने वाली सूजन और संक्रमण से जुड़े हो सकते हैं।
- गर्भावस्था और जन्म से जुड़ी दिक्कतें – मसूड़ों की बीमारी, जिसे पीरियोडोंटाइटिस कहते हैं, समय से पहले जन्म और जन्म के समय बच्चे का वज़न कम होने से जुड़ी है।
- निमोनिया – मुंह के कुछ बैक्टीरिया फेफड़ों में भी जा सकते हैं। इससे निमोनिया और सांस से जुड़ी दूसरी बीमारियाँ हो सकती हैं।
आपका मौखिक स्वास्थ्य निम्नलिखित स्थितियों में भूमिका निभा सकता है, जिनमें शामिल हैं:
- मधुमेह – मधुमेह शरीर की प्रतिरक्षा प्रणाली को कमजोर कर देता है, इसलिए मधुमेह मसूड़ों के लिए खतरा बन सकता है। जिनको मधुमेह है, उनमें मसूड़ों की बीमारी ज़्यादा बार होती है और अधिक गंभीर होती है। शोध से पता चलता है कि ऐसे लोगों को अपनी रक्त शर्करा के स्तर को नियंत्रित करना कठिन होता है।
- HIV/AIDS – मुंह से जुड़ी दिक्कतें, जैसे कि मुंह में होने वाले दर्दनाक छाले जिन्हें म्यूकोसल घाव कहते हैं, HIV/AIDS वाले लोगों में आम हैं।
- कैंसर – कुछ कैंसर को मसूड़ों की बीमारी से जोड़ा गया है। इनमें मुंह, पेट-आंत, फेफड़े, स्तन, प्रोस्टेट ग्लैंड और गर्भाशय के कैंसर शामिल हैं।
- अल्ज़ाइमर रोग – जैसे-जैसे अल्ज़ाइमर रोग बढ़ता है, वैसे-वैसे मुंह की सेहत भी खराब होती जाती है।
अन्य स्थितियां, जो मौखिक स्वास्थ्य से जुड़ी हो सकती हैं, उनमें खाने के विकार, रुमेटीइड गठिया और एक प्रतिरक्षा प्रणाली की स्थिति शामिल है, जो स्जोग्रेन सिंड्रोम (शुष्क मुंह) का कारण बनती है।
आप जो भी दवाएं ले रहे हैं, उनके बारे में अपने दंत चिकित्सक को ज़रूर बताएं। यह सुनिश्चित करें कि आपका दंत चिकित्सक आपके समग्र स्वास्थ्य के बारे में जानता है। इसमें आपकी हाल की बीमारियाँ या मधुमेह जैसी मौजूदा स्थितियाँ शामिल हैं।
इसे भी पढ़ें – गर्भावस्था क्या है – लक्षणों और समस्याओं की विस्तृत जानकारी
इसे भी पढ़ें – कैंसर क्या है: जानिए प्रकार, कारण, रोकथाम और बहुत कुछ
दंत और मौखिक स्वास्थ्य समस्याओं का इलाज
भले ही आप अपने दांतों की अच्छी तरह से देखभाल कर रहे हों, फिर भी आपको अपने दंत चिकित्सक के पास से साल में दो बार दांतों की बढ़िया तरीके से सफाई करवानी होगी। यदि आपमें मसूड़ों की बीमारी, संक्रमण या अन्य समस्याओं के लक्षण दिखते हैं, तो आपका दंत चिकित्सक अन्य उपचारों की सिफारिश करेगा।
सफ़ाई
एक पेशेवर साफ़-सफाई से ब्रश या फ्लॉसिंग से न निकलने वाले प्लाक से छुटकारा मिल सकता है। इससे टार्टर भी निकल जाते हैं। ये सफाई आमतौर पर एक दंत स्वास्थ्य विशेषज्ञ द्वारा की जाती है।
आपके दांतों से सारा टार्टर निकल जाने के बाद, विशेषज्ञ एक उच्च शक्ति वाले टूथब्रश से आपके दांतों को अच्छी तरह से ब्रश करेंगे। इसके बाद मुँह की गंदगी को बाहर निकालने के लिए फ़्लॉसिंग और कुल्ला किया जाता है।
गहरी सफाई जैसे स्केलिंग और रूट प्लानिंग मसूड़ों के ऊपर जमी टार्टर की परत को भी हटा देता है, जो नियमित सफाई से निकलते हैं।
फ्लोराइड उपचार
दांतों की सफाई के बाद, आपका दंत चिकित्सक कैविटी से लड़ने में मदद के लिए फ्लोराइड उपचार का उपयोग कर सकता है। फ्लोराइड एक प्राकृतिक रूप से पाया जाने वाला खनिज है।
यह आपके दांतों के इनेमल को मजबूत करने और उन्हें बैक्टीरिया और एसिड के प्रति अधिक लचीला बनाने में मदद कर सकता है।
एंटीबायोटिक्स
यदि आपके मसूड़ों में संक्रमण के लक्षण दिखते हैं या आपके दांत में घाव है, जो अन्य दांतों या आपके जबड़े तक फैल गया है, तो आपका दंत चिकित्सक संक्रमण से छुटकारा पाने में मदद के लिए एंटीबायोटिक्स लिख सकता है।
एंटीबायोटिक कुल्ला करने, जेल, मौखिक गोली या कैप्सूल के रूप में हो सकता है। सर्जिकल प्रक्रियाओं के दौरान दांतों या मसूड़ों पर सामयिक एंटीबायोटिक जेल भी लगाया जा सकता है।
दांत की भराई, दांत का कवर और सीलेंट
दांत की भराई का उपयोग दांत में मौजूद किसी कैविटी, दरार या छेद को ठीक करने के लिए किया जाता है। दंत चिकित्सक पहले एक ड्रिल का उपयोग करके दांत के क्षतिग्रस्त भाग को हटाता है और फिर छेद को मिश्रधातु अमलगम मिश्रण से भर देता है।
दांत के कवर (क्राउन) का उपयोग तब किया जाता है, जब आपके दांत के बड़े हिस्से को हटाने की जरूरत हो या किसी चोट के कारण टूट गया हो। क्राउन दो प्रकार के होते हैं: इम्प्लांट क्राउन, जो इम्प्लांट के ऊपर फिट होता है और नियमित क्राउन, जो प्राकृतिक दांत के ऊपर फिट होता है। दोनों प्रकार के क्राउन उस जगह को भरते हैं, जहां आपका प्राकृतिक दांत दिखाई देता है।
डेंटल सीलेंट, पतले, सुरक्षात्मक कोटिंग होते हैं, जिन्हें कैविटी को रोकने में मदद करने के लिए पीछे के दांतों या दाढ़ों पर लगाए जाते हैं। आपका दंत चिकित्सक आपके बच्चों को उनकी पहली दाढ़ निकलते ही, लगभग छह वर्ष की आयु में और फिर जब उनकी दूसरी दाढ़ निकलती है, लगभग 12 वर्ष की आयु में, सीलेंट लगाने की सलाह दे सकता है। सीलेंट लगाना आसान होता है और पूरी तरह से दर्द रहित होता है।
रूट कैनाल
यदि दाँत की सड़न दाँत के अंदर तंत्रिका तक पहुँच जाती है, तो आपको रूट कैनाल की आवश्यकता हो सकती है। रूट कैनाल के दौरान, तंत्रिका को निकाल दिया जाता है और बायोकम्पैटिबल सामग्री से बने फिलिंग से भर दिया जाता है, जो आमतौर पर गुट्टा-पर्चा नामक रबर जैसी सामग्री और चिपकने वाले सीमेंट का संयोजन होता है।
प्रोबायोटिक्स
प्रोबायोटिक्स को मुख्य रूप से पाचन स्वास्थ्य में उनकी भूमिका के लिए जाना जाता है, लेकिन नए शोध से पता चला है कि स्वस्थ बैक्टीरिया आपके दाँतों और मसूड़ों के लिए फायदेमंद हो सकते हैं।
प्रोबायोटिक्स प्लाक को रोकने और सांसों की दुर्गंध का इलाज करने में कारगर साबित हुए हैं। वे मौखिक कैंसर को रोकने और मसूड़ों की बीमारी से होने वाली सूजन को कम करने में भी मदद करते हैं।
हालाँकि, उनकी प्रभावशीलता को साबित करने के लिए अभी भी बड़े नैदानिक परीक्षणों की आवश्यकता है, लेकिन आज तक के परिणाम आशाजनक रहे हैं। आप प्रोबायोटिक सप्लीमेंट ले सकते हैं या दही, केफिर और किमची जैसे लाभकारी बैक्टीरिया से भरपूर खाद्य पदार्थ खा सकते हैं।
रोजमर्रा की आदतें बदलना
अपने मुँह को स्वस्थ रखना एक दैनिक प्रतिबद्धता है। एक डेंटल हाइजीनिस्ट आपको सिखा सकता है कि रोजाना अपने दांतों और मसूड़ों की उचित देखभाल कैसे करें। ब्रश करने और फ्लॉसिंग के अलावा, आपकी दैनिक दिनचर्या में माउथवॉश से कुल्ला करना शामिल हो सकता है।

दांतों और मुंह की समस्याओं के लिए सर्जरी
मौखिक सर्जरी आमतौर पर पीरियडोंटल बीमारी के अधिक गंभीर मामलों के इलाज के लिए की जाती है। दुर्घटना के कारण गायब या टूटे हुए दांतों को बदलने या ठीक करने के लिए कुछ डेंटल सर्जरी भी की जा सकती हैं।
फ्लैप सर्जरी
फ्लैप सर्जरी के दौरान, सर्जन ऊतक के एक हिस्से को ऊपर उठाने के लिए मसूड़ों में एक छोटा सा कट बनाता है। फिर वे मसूड़ों के नीचे से टार्टर और बैक्टीरिया को हटाते हैं। फिर फ्लैप को आपके दांतों के चारों ओर वापस सिल दिया जाता है।
बोन ग्राफ्टिंग
बोन ग्राफ्टिंग की आवश्यकता तब होती है, जब मसूड़ों की बीमारी आपके दांत की जड़ के आसपास की हड्डी को नुकसान पहुंचाती है। दंत चिकित्सक क्षतिग्रस्त हड्डी को ग्राफ्ट से बदल देता है, जिसे आपकी अपनी हड्डी या सिंथेटिक हड्डी से बनाया जा सकता है।
सॉफ्ट टिशू ग्राफ्ट
सिकुड़ते मसूड़ों के इलाज के लिए एक सॉफ्ट टिशू ग्राफ्ट का उपयोग किया जाता है। एक दंत चिकित्सक आपके मुंह से ऊतक का एक छोटा सा टुकड़ा निकालेगा और इसे आपके मसूड़ों के उन क्षेत्रों में जोड़ देगा, जो गायब हैं।
दांत निकालना
यदि आपका दंत चिकित्सक रूट कैनाल या अन्य सर्जरी से आपके दांत को नहीं बचा सकता है, तो दांत को निकालने की सिफारिश कर सकता है।
यदि आपकी अक्ल दाढ़ या तीसरी दाढ़ प्रभावित है, तो आपको दांत निकलवाने की भी आवश्यकता हो सकती है। कभी-कभी, किसी व्यक्ति का जबड़ा तीसरी दाढ़ को समायोजित करने के लिए पर्याप्त बड़ा नहीं होता है। इसलिए, जब यह बाहर निकलने की कोशिश करेगा, तो एक या अधिक अक्ल दाढ़ें फंस जाएंगी या प्रभावित हो जाएंगी। एक दंत चिकित्सक आमतौर पर यही सलाह देगा कि यदि अक्ल दाढ़ दर्द, सूजन या अन्य समस्याएं पैदा करती है, तो उसे निकलवा दिया जाए।
दंत प्रत्यारोपण
दंत प्रत्यारोपण (डेंटल इम्प्लांट) का उपयोग किसी बीमारी या दुर्घटना के कारण खोए हुए दांतों को बदलने के लिए किया जाता है। प्रत्यारोपण को जबड़े की हड्डी में शल्य चिकित्सा द्वारा लगाया जाता है। इम्प्लांट लगाए जाने के बाद, आपकी हड्डियाँ इसके चारों ओर बढ़ने लगेंगी। इसे ही ऑसियोइंटीग्रेशन (हड्डी के साथ जुड़ना) कहा जाता है।
एक बार यह प्रक्रिया पूरी हो जाने के बाद, आपका दंत चिकित्सक आपके लिए एक नया कृत्रिम दाँत तैयार करेगा, जो आपके अन्य दाँतों से मेल खाता हो। इस कृत्रिम दाँत को क्राउन के नाम से जाना जाता है। फिर नये क्राउन को इम्प्लांट से जोड़ दिया जाता है।
यदि आपका एक से अधिक दाँत बदला जा रहा है, तो आपका दंत चिकित्सक आपके मुँह में फ़िट होने के लिए एक ब्रिज तैयार कर सकता है। डेंटल ब्रिज खाली जगह के दोनों ओर दो आधार स्तंभ से बना होता है, जो फिर बीच में लगे कृत्रिम दाँतों को अपनी जगह पर रखता है।
क्या ग़लत हो सकता है?
पेरियोडोंटल रोग अंततः आपके दांतों को सहारा देने वाली हड्डी को तोड़ सकता है। इससे कई जटिलताएँ पैदा हो सकती हैं। अपने दांतों को बचाने के लिए आपको संभवतः दंत चिकित्सा की आवश्यकता होगी।
अनुपचारित पेरियोडोंटल बीमारी के जोखिम और जटिलताओं में शामिल हैं:
- दाँतों का फोड़ा
- अन्य संक्रमण
- आपके दांतों का स्थान बदलना
- गर्भावस्था संबंधी जटिलताएँ
- दांतों की जड़ों का दिखाई देना
- मौखिक कैंसर
- दांतों का गिरना
- मधुमेह, हृदय रोग, कैंसर और श्वसन रोगों का जोखिम बढ़ जाना
यदि उपचार न किया जाए, तो दांत के फोड़े से संक्रमण आपके सिर या गर्दन के अन्य हिस्सों में फैल सकता है। इससे सेप्सिस भी हो सकता है, जो एक प्राणघातक रक्त संक्रमण का कारण भी बन सकता है।
इसे भी पढ़ें – हृदय संबंधी विकार (CVD) के बारे में क्या जानना चाहते है?
दांतों और मसूड़ों की सुरक्षा कैसे करें?
अच्छा मौखिक स्वास्थ्य अच्छे सामान्य स्वास्थ्य और व्यावहारिक बुद्धि पर निर्भर करता है। मौखिक स्वास्थ्य समस्याओं को रोकने के सर्वोत्तम तरीके हैं:
- दिन में कम से कम दो बार फ्लोराइड टूथपेस्ट से अपने दाँतों को ब्रश करें
- दिन में कम से कम एक बार दांतों के बीच की भी सफाई करें
- हर छह महीने में अपने दाँतों को किसी दंत चिकित्सक से साफ़ करवाएँ
- तम्बाकू उत्पादों के सेवन से बचें
- फल और सब्ज़ियों से भरपूर आहार लें, जिसमें उच्च फाइबर, कम वसा, कम चीनी हों
- मीठे खाद्य और पेय पदार्थों का सेवन कम करें
छिपी हुई चीनी वाले खाद्य पदार्थों में शामिल हैं:
- केचप और बारबेक्यू सॉस
- डिब्बाबंद कटे हुए फल
- स्वादिष्ट दही
- पास्ता सॉस
- मीठी आइस्ड टी
- सोडा और स्पोर्ट्स ड्रिंक
- डिब्बाबंद जूस
- एनर्जी बार
- केक
बच्चों, गर्भवती महिलाओं और वृद्धों के लिए दंत और मौखिक स्वास्थ्य का अच्छा होना विशेष रूप से महत्वपूर्ण है।
बच्चे के मौखिक स्वास्थ्य के बारे में क्या पता होना चाहिए?
बच्चों के दांतों में छेद और सड़न होने की संभावना बहुत अधिक होती है, खासकर वे जो बोतल से दूध पीते हैं। बोतल से दूध पिलाने के बाद दांतों पर बहुत अधिक चीनी रह जाने से भी दांतों में कैविटी हो सकती है।
शिशु के दांतों की सड़न से बचने के लिए, बोतल से दूध पिलाते समय आपको निम्न कार्य करने चाहिए:
- बच्चे को बोतल से दूध तभी पिलाएँ, जब उसे भूख लगी हो
- जब बच्चा एक वर्ष का हो जाए, तब बोतल से दूध पिलाना बंद कर दें
- यदि सोते समय बोतल से दूध पिलाना पड़े, तो बोतल में पानी भर दें
- जब बच्चे के दांत निकलने लगें, तो उसे मुलायम बेबी टूथब्रश से ब्रश करना सिखाएं
बच्चे के बोतल से दूध पीने के कारण होने वाले दांतों की सड़न को बचपन में होने वाली दांतों की सड़न (ECC) के रूप में भी जाना जाता है।
पुरुषों को मौखिक स्वास्थ्य के बारे में क्या पता होना चाहिए?
अमेरिकन एकेडमी ऑफ़ पीरियोडोंटोलॉजी के अनुसार, पुरुषों में महिलाओं की तुलना में अपने दाँतों और मसूड़ों की अच्छी देखभाल करने की संभावना कम होती है। महिलाओं की तुलना में, पुरुषों में दिन में दो बार ब्रश करने, नियमित रूप से फ़्लॉस करने और निवारक दंत चिकित्सा देखभाल की संभावना कम होती है।
पुरुषों में मुंह और गले का कैंसर अधिक आम है। 2008 के एक अध्ययन से पता चला है कि पीरियोडोंटल बीमारी के इतिहास वाले पुरुषों में स्वस्थ मसूड़ों वाले पुरुषों की तुलना में अन्य प्रकार के कैंसर विकसित होने की संभावना 14 प्रतिशत अधिक होती है।
महिलाओं को मौखिक स्वास्थ्य के बारे में क्या पता होना चाहिए?
अपने जीवन के विभिन्न चरणों में महिलाओं को हार्मोन स्तर में बदलाव के कारण कई दंत और मौखिक स्वास्थ्य समस्याओं का खतरा होता है।
जब किसी महिला को पहली बार मासिक धर्म शुरू होता है, तो उसे अपने पीरियड्स के दौरान मुंह में छाले या मसूड़ों में सूजन का अनुभव हो सकता है।
गर्भावस्था के दौरान, बढ़े हुए हार्मोन मुंह से निकलने वाली लार की मात्रा को प्रभावित कर सकते हैं। गर्भावस्था के दौरान बार-बार उल्टी या मतली होने से दांतों में सड़न हो सकती है।
रजोनिवृत्ति के दौरान, एस्ट्रोजन की कम मात्रा आपके मसूड़ों की बीमारी के जोखिम को बढ़ा सकती है। कुछ महिलाओं को रजोनिवृत्ति के दौरान बर्निंग माउथ सिंड्रोम (BMS) नामक स्थिति का भी अनुभव हो सकता है।
मधुमेह वालों को मौखिक स्वास्थ्य के बारे में क्या पता होना चाहिए?
मधुमेह शरीर की बैक्टीरिया से लड़ने की क्षमता को प्रभावित करता है। इसका मतलब है कि मधुमेह वाले लोगों को मौखिक संक्रमण, मसूड़ों की बीमारी और पीरियोडोंटाइटिस होने का खतरा अधिक होता है। उन्हें मुंह में होने वाले एक फंगल संक्रमण (थ्रश) का अधिक जोखिम होता है।
मधुमेह से पीड़ित लोगों को अपने दंत और मौखिक स्वास्थ्य को ठीक रखने के लिए, उन्हें अपने रक्त शर्करा के स्तर पर नियंत्रण बनाए रखने की आवश्यकता होगी।
आखिरी बात भी बहुत महत्वपूर्ण है…
आपके मौखिक स्वास्थ्य का प्रभाव केवल आपके दांतों पर ही नहीं पड़ता है। खराब दंत और मौखिक स्वास्थ्य आपके आत्मसम्मान, भाषण या पोषण से जुड़ी समस्याओं में योगदान दे सकता है। वे आपके आराम और जीवन की समग्र गुणवत्ता को भी प्रभावित कर सकते हैं।
कई दंत और मौखिक समस्याएं बिना किसी लक्षण के विकसित होती हैं। जांच और परीक्षण के लिए नियमित रूप से दंत चिकित्सक को दिखाना किसी समस्या को बदतर होने से पहले पकड़ने का सबसे अच्छा तरीका है।
आखिरकार, आपका दीर्घकालिक परिणाम आपके अपने प्रयासों पर निर्भर करता है। आप हमेशा हर कैविटी को रोक नहीं सकते हैं, लेकिन आप अपने दैनिक मौखिक देखभाल के शीर्ष पर रहकर गंभीर मसूड़ों की बीमारी और दांतों के नुकसान के जोखिम को कम कर सकते हैं।
दोस्तों, यह लेख आपको कैसा लगा नीचे Comment Box में अपने विचार अवश्य बताएं। पसंद आने पर लेख को Social Media पर अपने दोस्तों के साथ भी Share अवश्य करें, ताकि इस महत्वपूर्ण जानकारी का फायदा अन्य लोग भी उठा सकें, जल्द फिर वापस आऊंगा एक नये लेख के साथ।
अस्वीकरण: इस लेख के माध्यम से दी गई जानकारी, बीमारियों और स्वास्थ्य के बारे में लोगों को केवल जागरूक करने हेतु हैं। यहाँ दी गई किसी भी सलाह, सुझावों को निजी स्वास्थ्य के लिए उपयोग में लाने से पहले किसी पंजीकृत चिकित्सक की सलाह अवश्य लें। healthya style जानकारी की सटीकता, पर्याप्तता, पूर्णता, वैधता, विश्वसनीयता या उपयोगिता के बारे में कोई गारंटी या वारंटी (स्पष्ट या निहित) प्रदान नहीं करता है; और इससे उत्पन्न होने वाली किसी भी देयता से इनकार करता है।
References –
https://www.mayoclinic.org/healthy-lifestyle/adult-health/in-depth/dental/art-20047475
https://www.metropolisindia.com/blog/preventive-healthcare/world-oral-health-day
https://www.guardianlife.com/oral-and-overall-health
https://my.clevelandclinic.org/health/treatments/16914-oral-hygiene



